
Apie mus
Inovatyvus požiūris į jūsų dantų sveikatą
Care beyond every treatment
Šypsena – tai jūsų vizitinė kortelė ir sveikatos atspindys. Mūsų odontologijos kabineto misija yra ne tik kokybiškai gydyti jau atsiradusias burnos ertmės problemas, bet ir padėti joms užkirsti kelią.
Ilgametė patirtis rodo, kad kariesas yra išvengiama liga, todėl didžiulį dėmesį skiriame pacientų edukacijai ir ankstyvai diagnostikai.


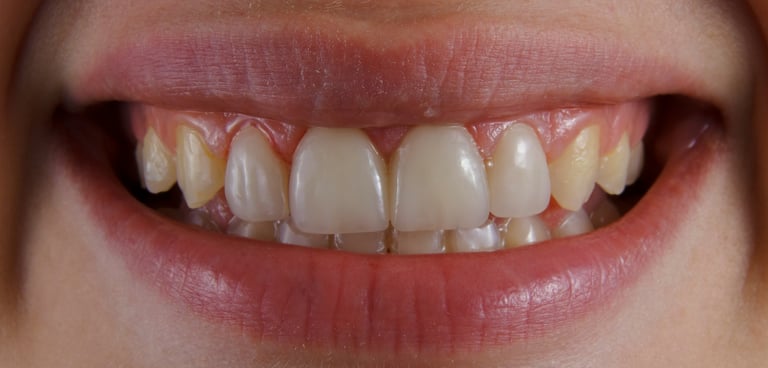
Meet The Team Behind Every Smile






Dr. Laura Smith – Cosmetic Dentist
“Every smile has a story — my goal is to make it a beautiful one.”
Dr. James Pat – Implant Specialist
"Precision and care beautifully always go hand in hand."
Dr. Emma Lopez – Pediatric Dentist
“A gentle approach helps children grow fearless and confident.”
Kodėl verta rinktis mūsų kliniką?
Aukščiausia kokybė: Naudojame modernią diagnostikos įrangą, kuri leidžia pastebėti ėduonį dar pradinėse jo stadijose, kai pažeidimai plika akimi nematomi.


Gydymas be streso ir skausmo: Suprantame, kad vizitas pas odontologą gali kelti nerimą. Taikome modernius nuskausminimo metodus ir užtikriname ramią, palaikančią aplinką.
Ilgaamžiai sprendimai: Dantų plombavimui naudojame tik aukščiausios klasės, sertifikuotas medžiagas, atitinkančias natūralią danties spalvą ir savybes.



Ready for your next visit?
Book your appointment online – it’s quick, easy, and takes less than a minute.
Gentle care. Confident smiles.
Navigation:
Get in touch:
123 Bright Avenue, Los Angeles, CA
© 2025 Aura Dental Clinic. All rights reserved.
Mon – Fri: 8:00 AM – 7:00 PM
